Soonchunhyang University Bucheon Hospital succeeded in simultaneously performing 7cm kidney cancer robot partial resection and bladder cancer endoscopy
Nov 12, 2025
|
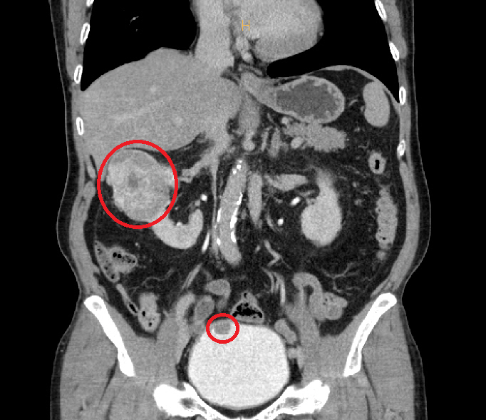
In the case of tumors larger than 4 cm in height, total resection is generally performed, but Suncheonhyang University Bucheon Hospital is selectively performing partial resection to maximize kidney function even if it is larger based on its rich experience in high-level robotic surgery. Preserving the kidney greatly helps to lower the risk of chronic renal failure and reduce the likelihood of dialysis in the long run.
Kim (73, male), who underwent surgery this time, found bladder cancer in his bladder along with renal cell cancer measuring about 7cm in one kidney. Professor Lee Sang-wook performed a robotic kidney partial resection using the Da Vinci Xi robotic surgery machine to precisely resect tumors by enlarging the surgical site up to 15 times to a 3D screen. Partial renal resection is a high-level surgery that requires temporary ligation of the renal artery to reduce bleeding. Bladder cancer was removed by transurethral resection using an endoscope.
Professor Lee Sang-wook chose partial resection because he thought protecting the kidney function was very important to the patient's quality of life, although both cancers were found at the same time in the patient and the size of the kidney tumor was large"Sunchon Hyang University Bucheon Hospital performs customized surgery for patients based on various high-level robotic surgery experiences to produce optimal treatment results."
|
This article was translated by Naver AI translator.











