I thought it was a herniated disc... Stiff spinal cord stiffening ankylosing spondylitis, treatment?
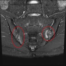
ankylosing spondylitis is one of the chronic softening diseases of spondyloarthritis. In addition to the spine or joints, it can cause diseases in various organs of the body such as the eyes, skin, and gastrointestinal tract, so it is not a simple musculoskeletal disease, but a systemic disease. As a result of imaging tests, if there is sacroiliac arthritis (a disease that causes inflammation of the joints where the sacrum, which is the bone below the spine, and the ilium, which is the bone of the bone, meet the definition of spondyloarthritis, it is defined as ankylosing spondylitis.
Professor Lee Ju-ha of the Rheumatology Department at Catholic University of Korea's Seoul St. Mary's Hospital said "Strong Spondylitis is a chronic inflammatory disease characterized by inflammation of the spine and attachments, including the ceiling joint. Genetic predispositions such as HLA-B27 are behind the outbreak, accompanied by chronic inflammatory back pain, adherent site inflammation or peripheral arthritis, and extracorporeal symptoms."
◇3 to 4 times higher incidence of men and common among young men
It is common in young men in their 20s and 30s, and it is known that the incidence rate is three to four times higher in men than in women, and it often begins in their late teens and early 20s.
The primary treatment is the use of nonsteroidal anti-inflammatory drugs. This drug, commonly called anti-inflammatory analgesics, is the most basic drug for ankylosing spondylitis. This drug has the effect of reducing pain and improving mobility, and even delaying the deformation of the spine if taken steadily. Usually, if you take it for 2-4 weeks, you can see the effect, and since it is a drug that requires long-term use, you can choose from a variety of drugs in consideration of the patient's living environment and health conditions that are concerned about side effects.
According to some amendments to the Ministry of Health and Welfare 'Details on the criteria and methods of applying care benefits'TNF-α inhibitors are used in patients with severe active ankylosing spondylitis who have been treated with two or more types of nonsteroidal anti-inflammatory drugs (NSAIDs) or DMARDs (disease control antirheumatic drugs) for more than three months but have insufficient treatment effect or have been discontinued due to side effects of the drugs. From December 2023, insurance benefits for IL-17 inhibitors such as Cocentix (component name Secukinumab) and Talz (component name Iksekizumab) will be applied.
◇ progressive inflammatory disease that gradually hardens the vertebral node
Since ankylosing spondylitis is a progressive inflammatory disease in which the vertebrae gradually harden, it is important to prevent the progression of stiffness through early diagnosis and treatment. Early detection can prevent serious sequelae from spinal deformity and minimize the occurrence of complications in other organs. This is also because it can prevent social and economic difficulties that can occur at a young age.
IL-17 inhibitors slow the progression of the disease by directly blocking IL-17, which starts with the occurrence of adherent inflammation and even causes nephrotic bone formation and irreversible damage to the spinal structure. With expanded pay, Cosentics, Talz can now be used as a first-line treatment, which will allow patients to receive effective treatment more quickly. In addition, if there is no response or side effects to TNF-α inhibitors or IL-17 inhibitors, JAK inhibitors (Linbuck, Zelzanz) are covered by health insurance. JAK inhibitors are used with indications for various diseases, and they are convenient to use as oral drugs.
Professor Lee Ju-ha said "Strong spondylitis is prone to misdiagnosis because it shows symptoms similar to those of a lumbar disc in the early stages."If an experienced rheumatologist discriminates symptoms and performs appropriate imaging tests to detect sacroiliac arthritis, early diagnosis is possible."
Professor Lee Ju-ha of the Rheumatology Department at Catholic University of Korea's Seoul St. Mary's Hospital said "Strong Spondylitis is a chronic inflammatory disease characterized by inflammation of the spine and attachments, including the ceiling joint. Genetic predispositions such as HLA-B27 are behind the outbreak, accompanied by chronic inflammatory back pain, adherent site inflammation or peripheral arthritis, and extracorporeal symptoms."
◇3 to 4 times higher incidence of men and common among young men
It is common in young men in their 20s and 30s, and it is known that the incidence rate is three to four times higher in men than in women, and it often begins in their late teens and early 20s.
The primary treatment is the use of nonsteroidal anti-inflammatory drugs. This drug, commonly called anti-inflammatory analgesics, is the most basic drug for ankylosing spondylitis. This drug has the effect of reducing pain and improving mobility, and even delaying the deformation of the spine if taken steadily. Usually, if you take it for 2-4 weeks, you can see the effect, and since it is a drug that requires long-term use, you can choose from a variety of drugs in consideration of the patient's living environment and health conditions that are concerned about side effects.
According to some amendments to the Ministry of Health and Welfare 'Details on the criteria and methods of applying care benefits'TNF-α inhibitors are used in patients with severe active ankylosing spondylitis who have been treated with two or more types of nonsteroidal anti-inflammatory drugs (NSAIDs) or DMARDs (disease control antirheumatic drugs) for more than three months but have insufficient treatment effect or have been discontinued due to side effects of the drugs. From December 2023, insurance benefits for IL-17 inhibitors such as Cocentix (component name Secukinumab) and Talz (component name Iksekizumab) will be applied.
◇ progressive inflammatory disease that gradually hardens the vertebral node
Since ankylosing spondylitis is a progressive inflammatory disease in which the vertebrae gradually harden, it is important to prevent the progression of stiffness through early diagnosis and treatment. Early detection can prevent serious sequelae from spinal deformity and minimize the occurrence of complications in other organs. This is also because it can prevent social and economic difficulties that can occur at a young age.
IL-17 inhibitors slow the progression of the disease by directly blocking IL-17, which starts with the occurrence of adherent inflammation and even causes nephrotic bone formation and irreversible damage to the spinal structure. With expanded pay, Cosentics, Talz can now be used as a first-line treatment, which will allow patients to receive effective treatment more quickly. In addition, if there is no response or side effects to TNF-α inhibitors or IL-17 inhibitors, JAK inhibitors (Linbuck, Zelzanz) are covered by health insurance. JAK inhibitors are used with indications for various diseases, and they are convenient to use as oral drugs.
Professor Lee Ju-ha said "Strong spondylitis is prone to misdiagnosis because it shows symptoms similar to those of a lumbar disc in the early stages."If an experienced rheumatologist discriminates symptoms and performs appropriate imaging tests to detect sacroiliac arthritis, early diagnosis is possible."
|
This article was translated by Naver AI translator.
