In-between seasons and winter pneumonia watch...Fatal vaccination for the elderly is important
Nov 18, 2025
|
Pneumonia was on the decline during the COVID-19 pandemic, but the number of patients increased more rapidly thereafter, and in 2024, mycoplasma pneumonia spread, prompting the Korea Centers for Disease Control and Prevention to issue a pandemic watch.
◇In-between seasons and winter pneumonia patients increase...Vaccination is important due to the high mortality rate of the elderly
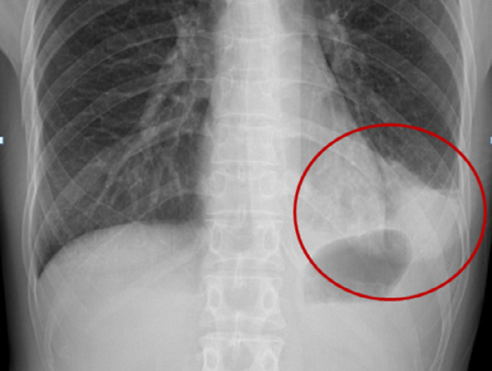
Pneumonia refers to a condition in which inflammation occurs in areas where gas exchange occurs, such as the alveoli or bronchioles.
It is caused by infections caused by microorganisms such as bacteria, viruses, and fungi, and it is a disease that develops at various ages from infants to the elderly, and it occurs a lot during the change of seasons or winter when the daily temperature is large and the temperature is low as it is nowadays. In particular, pneumonia has a higher mortality rate in the elderly, and the prevalence of pneumonia in the elderly and the resulting mortality rate are expected to increase further due to aging.
Lee Kyung-ju, chief of respiratory allergy medicine at Bundang Jesaeng Hospital, said, `Common symptoms of pneumonia include fever, cough, sputum, and shortness of breath, and chest pain and hemoptysis occur depending on the causative strain, but these symptoms and symptoms are often hidden in elderly patients with decreased immunity, and appear as general weakness, loss of appetite, loss of consciousness or deterioration of underlying diseases. Compared to other symptoms, tachycardia occurs, 30 to 40% of patients do not have fever, and because of the absence of these characteristic symptoms, pneumonia in elderly patients is diagnosed late, resulting in rapid deterioration of their condition and various complications, often increasing the risk.."
In addition, Chief Manager Lee Kyung-ju "The key to pneumonia treatment is early administration of appropriate antibiotics. Generally, antibiotics are administered for 5 to 14 days and the duration of treatment can be adjusted depending on the patient's condition and the causative microorganism"In order to prevent pneumonia, vaccination is important, and influenza vaccine and pneumococcal vaccine are recommended for adults over 65 years of age, chronically ill people, and immunocompromised people."
◇Thorough personal hygiene such as sufficient nutrition and hand washing
Pneumonia is diagnosed through clinical symptoms and X-rays. One of the most important decisions in treatment after being diagnosed with pneumonia is the decision of hospitalization. Outpatient or inpatient treatment should be determined appropriately according to the severity of the patient or the risk of death, but older people often have multiple comorbidities, so it takes longer to reach clinical stability, so a longer recovery period is needed than younger people. Therefore, when determining the timing of discharge after inpatient treatment in older adults with multiple comorbidities, it is necessary to assess whether additional measures, including early rehabilitation, are necessary.
Treatment is important because pneumonia can be especially fatal for people with chronic diseases and the elderly with low immunity, but prevention is important, and hand washing, abstaining from alcohol and smoking, taking sufficient water, and proper exercise and rest are required. If symptoms such as fever and decreased energy appear, they should quickly visit a medical institution for accurate diagnosis and treatment.
|
This article was translated by Naver AI translator.











