A 13-year-old boy who swallowed 100 super-powerful magnets almost lost his life...Buy from Temu despite sale ban
Oct 27, 2025
|
The magnet, made of neodymium-iron-boron, has a magnetic force up to 30 times stronger than that of a regular refrigerator magnet, and if it sticks together within organs, it can tear or press tissue to damage it.
Medical staff at Tauranga Hospital in New Zealand recently published a clinical case in the journal 『New Zealand Medical Journal』.
According to the contents, a 13-year-old boy living in Tauranga City was admitted to Tauranga Hospital with abdominal pain.
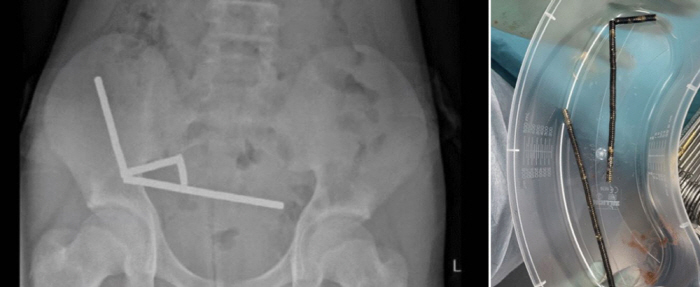
Abdominal x-rays showed that the magnets were attached to each other by magnetic force and distributed linearly in various parts of the organ, resulting in necrosis (tissue death) in the appendix, which is part of the small and large intestine.
The boy told medical staff he swallowed 80 to 100 5x2mm high-magnetic neodymium magnets about a week ago. The magnet is said to have been purchased from the online shopping platform 'Temu'.
The medical staff performed surgery to remove the intestine at the necrotic site along with the removal of the magnet, and the boy was discharged after 8 days of treatment. The date of the operation was not disclosed.
The medical team who co-wrote the paper warns that children and adolescents can easily access dangerous products in online shopping malls, along with the dangers of magnet swallowing" he said.
Swallowing multiple magnets sticks together within organs and can cause serious complications such as compression necrosis, perforation, obstruction, fistula, and sepsis, most of which require surgery. He warned that long-term problems such as obstruction, abdominal hernia, and chronic pain caused by intestinal adhesion may occur even after surgery.
Meanwhile, New Zealand banned the sale of high-magnetic small magnets in 2013 after a series of accidents involving children swallowing magnets. However, foreign media pointed out that the product is still easily available online.
This article was translated by Naver AI translator.










