A visible yellow bump, ocular fat escape, and care for the elderly
Oct 22, 2025
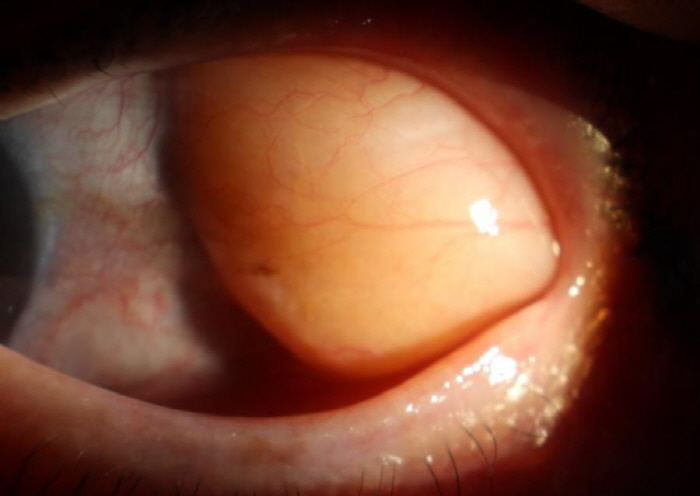
If the conjunctiva surrounding the eyeball weakens and becomes loose as the eye ages, fat may be pushed forward, resulting in ocular fat escape that looks like a yellow bump. Ophthalmic fat escape comes in a variety of sizes, from small enough to be invisible without lifting the eyelids to large enough to be caught between the upper and lower eyelids when closing the eyes.
There are few self-awareness symptoms, and it is relatively easy to notice even with the naked eye, such as finding a mirror more or being found by others. If you see a soft lump like a yolk on both sides of the eye white, you can suspect orbital fat escape, and accurate diagnosis is made through micrographs or palpation.
If the eyelids are not uncomfortable or do not show any special symptoms when moving, it does not affect vision much, so it is recommended to watch artificial tears to help lubricate with follow-up observation. However, other eye diseases requiring treatment may appear in a similar form, so if changes in the shape of fat are observed, it is better to visit an ophthalmologist quickly for an accurate diagnosis.
Even if there is no problem with vision, you can consider removing it if you are an age group who actively lives in society or if the patient wants it, but if there is no accompanying eye disease through examination, it can be simply removed by surgery. After anesthesia, the conjunctiva is incised to remove the escaped fat and then sutured. After surgery, blood clots or foreign body sensations may occur temporarily at the conjunctival incision site, but most of them are sutured using thin melting threads, so use appropriate eye drops and improve discomfort over time.
Since the appropriate surgical method may vary depending on the size and location of the fat and the patient's conjunctival condition, it is necessary to select a surgical method suitable for each individual's eye condition after consulting with an ophthalmologist before surgery.
Because the main cause of ocular fat escape is aging, the possibility of recurrence is relatively high. If you feel uncomfortable even if you don't have any special symptoms in your eyes, you should visit an ophthalmologist for a checkup.
"Ophthalmic exodus is a symptom of weakening the membrane surrounding the fat and protruding fat, which can be caused by aging," said Kim, a background artist at the cosmetic ophthalmology center at Kim Ophthalmology Hospital. "If the discomfort persists due to the ophthalmological exodus or if you want aesthetic improvement, you can remove it simply by surgery, but to minimize the symptoms that may appear later, it is recommended to decide the treatment direction after consulting with an experienced doctor."," he said.
There are few self-awareness symptoms, and it is relatively easy to notice even with the naked eye, such as finding a mirror more or being found by others. If you see a soft lump like a yolk on both sides of the eye white, you can suspect orbital fat escape, and accurate diagnosis is made through micrographs or palpation.
If the eyelids are not uncomfortable or do not show any special symptoms when moving, it does not affect vision much, so it is recommended to watch artificial tears to help lubricate with follow-up observation. However, other eye diseases requiring treatment may appear in a similar form, so if changes in the shape of fat are observed, it is better to visit an ophthalmologist quickly for an accurate diagnosis.
Even if there is no problem with vision, you can consider removing it if you are an age group who actively lives in society or if the patient wants it, but if there is no accompanying eye disease through examination, it can be simply removed by surgery. After anesthesia, the conjunctiva is incised to remove the escaped fat and then sutured. After surgery, blood clots or foreign body sensations may occur temporarily at the conjunctival incision site, but most of them are sutured using thin melting threads, so use appropriate eye drops and improve discomfort over time.
Since the appropriate surgical method may vary depending on the size and location of the fat and the patient's conjunctival condition, it is necessary to select a surgical method suitable for each individual's eye condition after consulting with an ophthalmologist before surgery.
Because the main cause of ocular fat escape is aging, the possibility of recurrence is relatively high. If you feel uncomfortable even if you don't have any special symptoms in your eyes, you should visit an ophthalmologist for a checkup.
"Ophthalmic exodus is a symptom of weakening the membrane surrounding the fat and protruding fat, which can be caused by aging," said Kim, a background artist at the cosmetic ophthalmology center at Kim Ophthalmology Hospital. "If the discomfort persists due to the ophthalmological exodus or if you want aesthetic improvement, you can remove it simply by surgery, but to minimize the symptoms that may appear later, it is recommended to decide the treatment direction after consulting with an experienced doctor."," he said.
|
This article was translated by Naver AI translator.